When Virtual Collaboration Mirrors an In-Hospital Specialty Team

How multi-specialty teleconsultation guided critical decision-making for a complex emergency case

Veterinary teleconsultation through DVM STAT goes far beyond quick, one-time advice. Our consultations bring multiple specialists together to guide care in real time. Much like the teamwork seen within a specialty hospital, DVM STAT operates as a virtual specialty hospital, bringing board-certified specialists from different disciplines together to support veterinarians and their patients when it matters most.

This recent case from an emergency hospital demonstrates how DVM STAT’s cross-specialty approach allows general practitioners and ER clinicians to manage complex patients without referral delays.


Case Summary

A 10-year-old neutered male mixed-breed dog with a history of Cushing’s disease (hyperadrenocorticism) and chronic kidney disease, presented to the emergency hospital for acute, new-onset seizures.

A month earlier, his primary veterinarian had recorded a BUN of 50 mg/dL and creatinine of 2.2 mg/dL. He was currently being treated with Trilostane and antibiotics for a skin infection.

At ER presentation, initial diagnostics showed hypoglycemia (BG 33 mg/dL), azotemia (BUN 111 mg/dL, creatinine 4.8 mg/dL), and borderline hypernatremia.


Internal Medicine Integration

Dr. Kenny Siu, DVM, DACVIM (SAIM) reviewed a full abdominal ultrasound and provided an in-depth internal medicine consultation.

Ultrasound findings included:

  • Cystic chronic renal changes

  • Hepatomegaly with mild cholecystic debris

  • Generalized small-intestinal ileus

  • Left adrenal nodule

  • Mild pancreatic heterogeneity

No primary abdominal cause for the seizures was identified and no evidence of abdominal neoplasia was noted.

Dr. Siu’s consultation integrated metabolic, endocrine, and paraneoplastic differentials—including insulinoma, iatrogenic hypoadrenocorticism, and Cushing’s-related vascular disease. He recommended ACTH stimulation, paired insulin : glucose levels, blood-pressure monitoring, and tailored fluid and electrolyte therapy, as well as provided seizure-management recommendations.


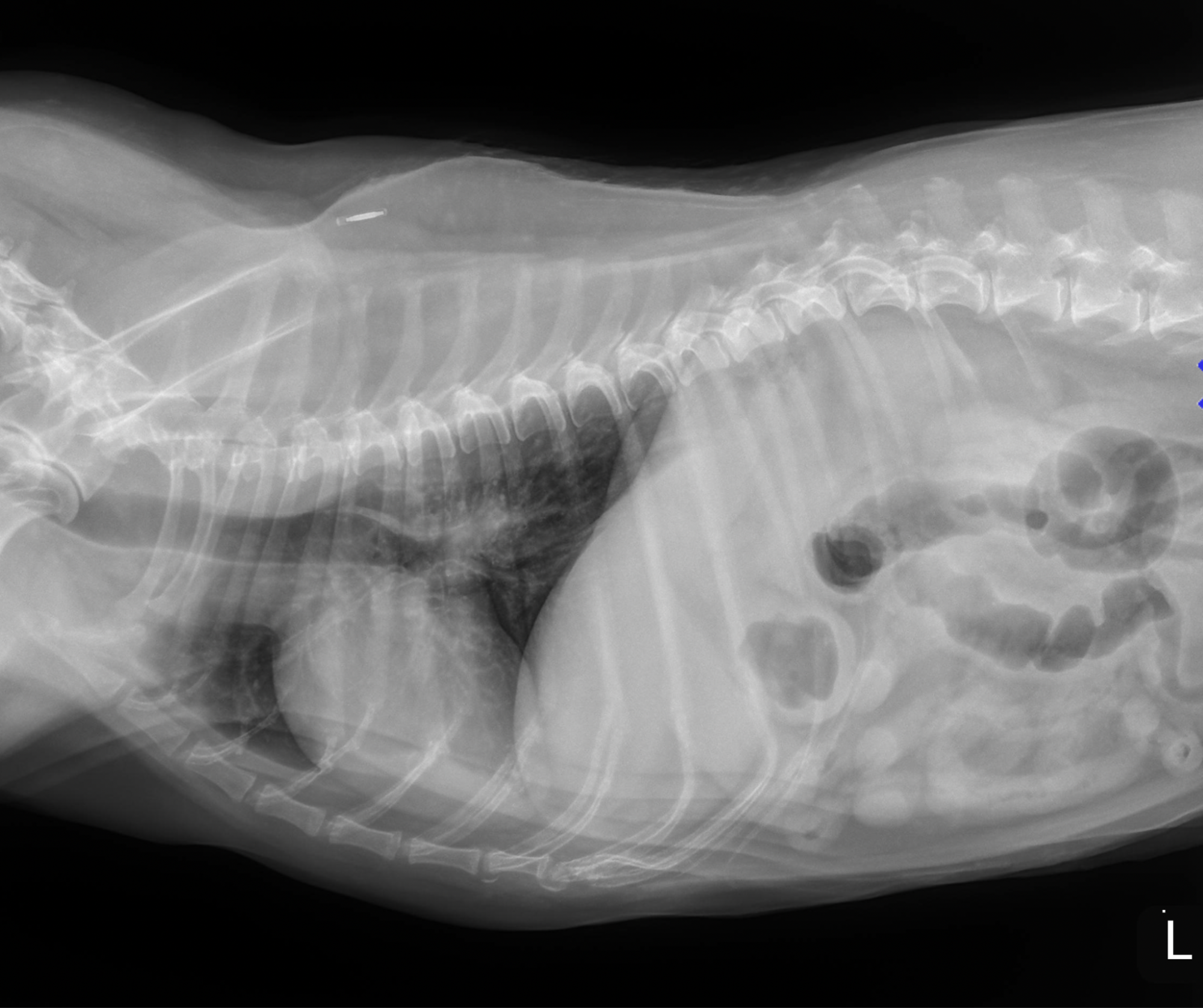
Radiology Findings

The following morning, thoracic radiographs were submitted for review by Dr. Mark B. Taylor, DVM, DACVR.

Findings included:

  • Mild left-atrial enlargement

  • Early interstitial perihilar pulmonary markings

  • Hepatomegaly

  • Suspected cystic calculi

An echocardiogram was recommended, and judicious fluid therapy with a possible furosemide (Lasix) trial was discussed. Based on these findings and the case progression, a critical care consultation was advised.


Critical Care Consultations Over 24 Hours

By the time the critical care team was engaged, the patient’s condition had fluctuated.

His seizures were initially responsive to midazolam, and hypoglycemia had been corrected with dextrose. He received buprenorphine and gabapentin for pain. Overnight, he developed nystagmus and dull mentation, later becoming minimally responsive despite naloxone administration. When his mentation failed to improve, the ER team initiated an emergency ECC consultation.

Dr. Rebecca Syring, DVM, DACVECC guided stabilization for refractory seizures, progressive azotemia, and electrolyte derangements.

Follow-up by Dr. Julien Guillaumin, DVM, DACVECC refined the neurologic and hemodynamic plan, ultimately recommending advanced imaging to investigate potential intracranial causes.

Through continuous dialogue between the emergency team and four DVM STAT specialists over a 36-hour period, the patient received round-the-clock guidance integrating internal medicine, radiology, and critical care expertise—all while remaining in the care of the ER team.


Collaborative Case Support

This case exemplifies how DVM STAT’s virtual specialty hospital model delivers the same level of expertise and collaboration found in tertiary centers—yet allows the patient to stay under the care of their trusted emergency veterinarian. In this case, the patient was too unstable for referral to a multi specialty hospital.


When the patient’s status declined and became critical, that critical care consult was so helpful. The criticalist was so detailed in their initial consult and that really improved my confidence in managing this patient and talking to the pet owner.
— Dr. P

Takeaways

  • Rapid, continuous multi-specialty collaboration

  • Coordinated cross-disciplinary updates refining care in real time

  • Expert Support for patient, client, and practitioner through seamless teamwork

DVM STAT Consulting provides 24/7/365 access to board-certified specialists in ECC, Internal Medicine, Cardiology, Neurology, Oncology, Surgery, Radiology, and Pathology. Empowering veterinarians through evidence-based, collaborative teleconsultation because your patients deserve specialty-level care wherever they are.

Previous
Previous

Frequently Asked Questions

Next
Next

Case Spotlight: Rapid Telespecialty Ultrasound Interpretation Leads to Lifesaving Surgery